Teknik Motor Samhälle Spel Popkultur Fritid Tjock Tester Dagens fråga Tipsa! Skaffa Feber+
Hetaste
Senaste
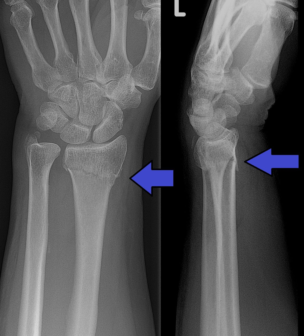
AI som kan upptäcka frakturer godkänd i USA Det kommer bli mycket AI inom sjukvården i framtiden AI som kan upptäcka frakturer godkänd i USA AJ! Foto: Lucien Monfils / Wikipedia Det amerikanska läkemedelsverket FDA har godkänt ett AI-baserat system för att upptäcka frakturer i patienters handleder.Systemet kallas för OsteoDetect och AI:n är tränad för att upptäcka så kallade distala radiusfrakturer, det som vi vanligtvis kallas för handledsfrakturer eller handledsbrott. Tanken med systemet är inte att det ska ersätta läkare utan OsteoDetect ska istället användas som ett komplement när läkaren ställer sin diagnos.Tidigare i år har FDA bland annat godkänt AI-baserade system för att upptäcka ögonsjukdomar såväl som att upptäcka stroke-fall. fda.gov Pryl, Artificiell intelligens, frakturer, sjukvård, benbrott, OsteoDetect, imagen Via engadget.com
48.5° 0 Wille Wilhelmsson Wille Wilhelmsson
tis. 29 maj 2018, 16:15
+ Per månad 39 kr Betala löpande per månad. Ingen bindningstid. Starta prenumeration Per år 299 kr Enklast och billigast, bara 25 kronor i månaden. Betala löpande per år. Ingen bindningstid. Prova 14 dagar gratis innan du bestämmer dig. Starta gratis provperiod Engångsköp 349 kr Slipp återkommande betalningar, betala ett år i taget. Betala med kort eller Swish. Köp utan prenumeration