Teknik Motor Samhälle Spel Popkultur Fritid Tjock Tester Dagens fråga Tipsa! Skaffa Feber+
Hetaste
Senaste
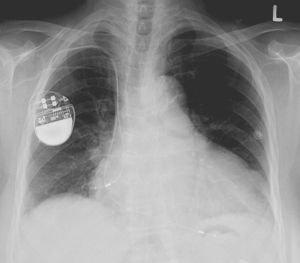
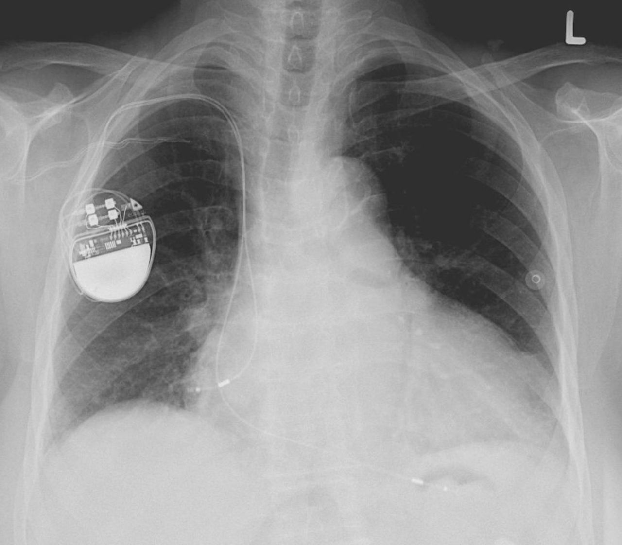
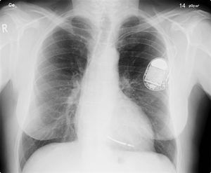
Pacemaker återkallas på grund av att de kan hackas Nästan en halv miljon pacemakers måste uppdateras Pacemaker återkallas på grund av att de kan hackas Foto: Lucier Monfilis / Wikipedia Den amerikanska myndigheten FDA (Food and Drug Administration) har beslutat att runt 465.000 pacemakers från tillverkaren Abbott måste återkallas för att installera en uppdatering rörande ett säkerhetsproblem. Det är ett antal av Abbots modeller som nu måste få sitt firmware uppdaterat men det ska vara en process som bara tar cirka 3 minuter enligt företaget. Det framgår inte exakt hur denna uppdatering går till men jag antar att det är något man måste fixa på sjukhus om man har en av de berörda modellerna. Säkerhetsuppdateringen kommer att innehålla:
"The update contains a software release that includes data encryption, operating system patches, and the ability to disable network connectively features, in addition to the firmware update. "
Det finns inga rapporter om att någon faktiskt har lyckats att hacka Abbots pacemakers i onda syften.
cnet.com Samhälle, Allmänt, pacemaker, återkallning, hacking, säkerhet Världens första online-mord sker i år? Europol varnar för det Tumnagel 18.0° 0 Pacemaker för magen Säger till kroppen att du är mätt Tumnagel 52.2° 0 Pacemaker satte dit snubbe för mordbrand Invärtes övervakning Tumnagel 45.2° 0
27.1° 0 Wille Wilhelmsson Wille Wilhelmsson
tors. 31 aug 2017, 17:15
+ Per månad 39 kr Betala löpande per månad. Ingen bindningstid. Starta prenumeration Per år 299 kr Enklast och billigast, bara 25 kronor i månaden. Betala löpande per år. Ingen bindningstid. Prova 14 dagar gratis innan du bestämmer dig. Starta gratis provperiod Engångsköp 349 kr Slipp återkommande betalningar, betala ett år i taget. Betala med kort eller Swish. Köp utan prenumeration