Teknik Motor Samhälle Spel Popkultur Fritid Tjock Tester Dagens fråga Tipsa! Skaffa Feber+
Hetaste
Senaste
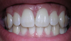
Forskare har skapat artificiell emalj Tänder kan nu laga sig själva Forskare har skapat artificiell emalj Foto: Kjerstin_Michaela / Pixabay Forskare på University of Washington har utvecklat en metod som i framtiden kanske gör att vi slipper gå till tandläkaren för att fixa mindre tandskador och hål i tänderna.Den nya behandlingen använder sig av peptider, korta kedjor av aminosyror, för att få mindre tandskador att läka sig själva. Med peptiderna så remineraliseras tandens emalj och mindre skador ska då läkas automatiskt. Forskarna tänker sig att det här skulle kunna bakas in i tandkräm eller andra munvårdsprodukter i framtiden och på så sätt bli en del av människors dagliga munvårds-rutin.När det gäller större skador och hål på tänderna så kommer man fortsatt att få gå till tandläkaren för att åtgärda dessa skriver Ny Teknik. nyteknik.se Vetenskap, Medicin, tänder, tandläkare, emalj, laga hål Via nyteknik.se Forskare fixar fyllning som självläker tänder Slutborrat i våra tänder i snart? Tumnagel 116.1° 0 Tandläkarbesök bland vilda djur Lite besvärligare att fixa tänder på djur än på människor Tumnagel 49.7° 0 VR testat för mindre plågsamma tandläkarförsök Verkar ha funkat fint Tumnagel 39.5° 0 76.4° 0 Wille Wilhelmsson Wille Wilhelmsson
mån. 23 apr 2018, 12:00
+ Per månad 39 kr Betala löpande per månad. Ingen bindningstid. Starta prenumeration Per år 299 kr Enklast och billigast, bara 25 kronor i månaden. Betala löpande per år. Ingen bindningstid. Prova 14 dagar gratis innan du bestämmer dig. Starta gratis provperiod Engångsköp 349 kr Slipp återkommande betalningar, betala ett år i taget. Betala med kort eller Swish. Köp utan prenumeration