Teknik Motor Samhälle Spel Popkultur Fritid Tjock Tester Dagens fråga Tipsa! Skaffa Feber+ Mitt konto
Hetaste
Senaste
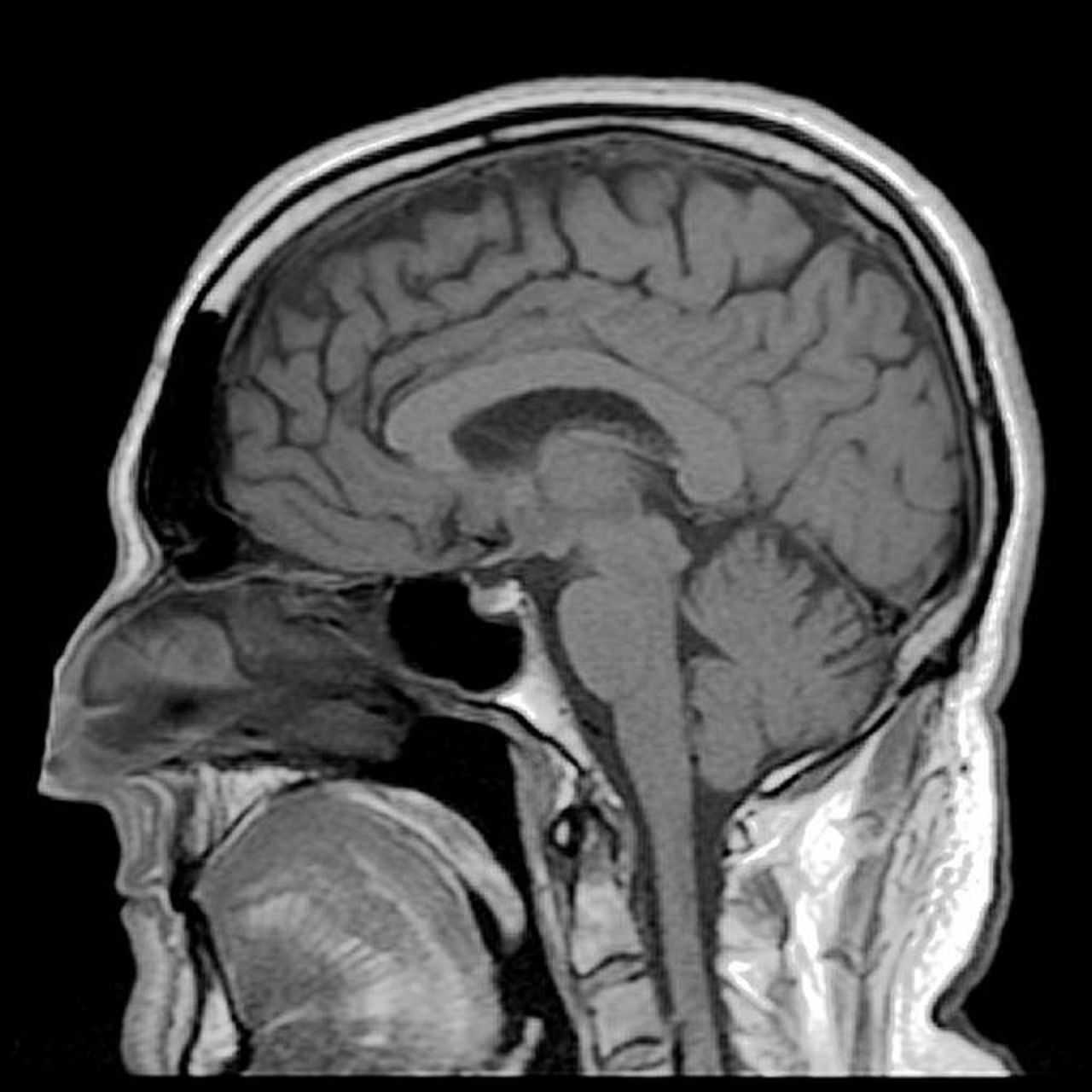
Ny teknik låter dig skriva med hjälp av hjärnan Perfekt för den som inte kan kommunicera som alla andra Ny teknik låter dig skriva med hjälp av hjärnan Foto: Reigh LeBlanc" target="_blank"> Forskare har tagit fram ett nytt tankeläsnings-system som för första gången kan låta vem som helst skriva ord och fraser, bokstav för bokstav, enbart genom att tänka. Det hela fungerar i realtid och du behöver varken säga något eller göra några som helst grimaser.Forskarna heter Bettina Sorger, Joel Reithler, Brigitte Dahmen och Rainer Goebel och de berättar att systemet kräver väldigt lite för att vara redo att börja användas. Systemet använder sig av funktionell magnetresonansavbildning eller fMRI som det förkortas som analyserar de hemodynamiska variationerna i hjärnan, alltså hur blodet rör sig där inne. Rörelserna är skapade av bilder vi får upp i huvudet och dessa knyts sedan till varje bokstav i alfabetet via en dator-algoritm.Systemet ska med framgång ha testats på patienter och det man gör för att det ska fungera är att man tittar på en skärm med alla bokstäver och sedan tänker på något en viss tid som man knyter an till en viss bokstav. När man sedan har gjort så för alla bokstäver är det bara att dra igång.Förutom att hjälpa folk med rörelsesvårigheter eller liknande skulle jag kunna tänka mig att använda tekniken till att skriva artiklar bara genom att ligga på soffan och stirra i taket, låter ju inte helt dumt. sciencedaily.com Vetenskap, Övrigt, funktionell magnetresonansavbildning, fMRI, forskning, hjärnan, skriva, teknik, utveckling Via Gizmodo
43.2° 0 Bobby Green Bobby Green
fre. 29 jun 2012, 13:15
+ Per månad 39 kr Betala löpande per månad. Ingen bindningstid. Starta prenumeration Per år 299 kr Enklast och billigast, bara 25 kronor i månaden. Betala löpande per år. Ingen bindningstid. Prova 14 dagar gratis innan du bestämmer dig. Starta gratis provperiod Engångsköp 349 kr Slipp återkommande betalningar, betala ett år i taget. Betala med kort eller Swish. Köp utan prenumeration