Teknik Motor Samhälle Spel Popkultur Fritid Tjock Tester Dagens fråga Tipsa! Skaffa Feber+
Hetaste
Senaste
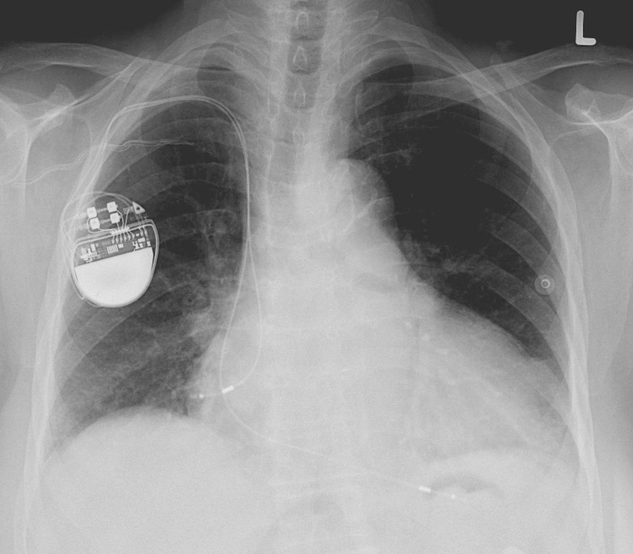
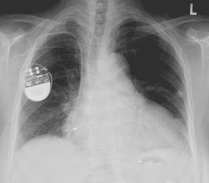
Pacemaker kan hackas och döda användaren Tillverkare får kritik för dålig säkerhet Pacemaker kan hackas och döda användaren Foto: Lucien Monfils / Wikipedia Forskare på den pågående säkerhets/hacking-konferensen Black Hat uppger att pacemakers från företaget Medtronic kan hackas och i värsta fall kan detta hota användarens liv.Enligt forskarna så krypteras inte trafiken när firmwaret på Medtronics pacemakers behöver uppdateras och detta gör det möjligt för obehöriga att installera malware i Medtronics pacemaker. På Black Hat-konferensen i Las Vegas demonstrerade de båda forskarna Billy Rios och Jonathan Butts hur man kunde hacka en maskin som läkare vanligtvis använder för att kontrollera patienters pacemakers efter de implanterats i patienter. Via den maskinen blev det sedan möjligt att installera programvara på pacemakers från Medtronics som i värsta fall skulle kunna göra så att pacemakern gav patienten livshotande stötar. De båda forskarna uppmärksammade Medtronics om säkerhetsproblemet i deras pacemakers redan i januari 2017 och de kritiserar nu företaget för att det fortfarande är möjligt att hacka deras maskiner. arstechnica.com Pryl, Övrigt, pacemaker, hacking, säkerhet, livsfarligt, black hat Världens första online-mord sker i år? Europol varnar för det Tumnagel 18.0° 0 Pacemaker återkallas på grund av att de kan hackas Nästan en halv miljon pacemakers måste uppdateras Tumnagel 27.1° 0 Pacemaker satte dit snubbe för mordbrand Invärtes övervakning Tumnagel 45.2° 0 12.3° 0 Wille Wilhelmsson Wille Wilhelmsson
fre. 10 aug 2018, 16:30
+ Per månad 39 kr Betala löpande per månad. Ingen bindningstid. Starta prenumeration Per år 299 kr Enklast och billigast, bara 25 kronor i månaden. Betala löpande per år. Ingen bindningstid. Prova 14 dagar gratis innan du bestämmer dig. Starta gratis provperiod Engångsköp 349 kr Slipp återkommande betalningar, betala ett år i taget. Betala med kort eller Swish. Köp utan prenumeration